きはら歯科クリニック|一般歯科・矯正歯科・小児歯科

‟コミュニケーション第一„をモットーに掲げる地域密着の診療所です

外観 ホームスライドショー_top_1

HOME ≫ 歯周病治療の流れ ≫

歯周病治療の流れ

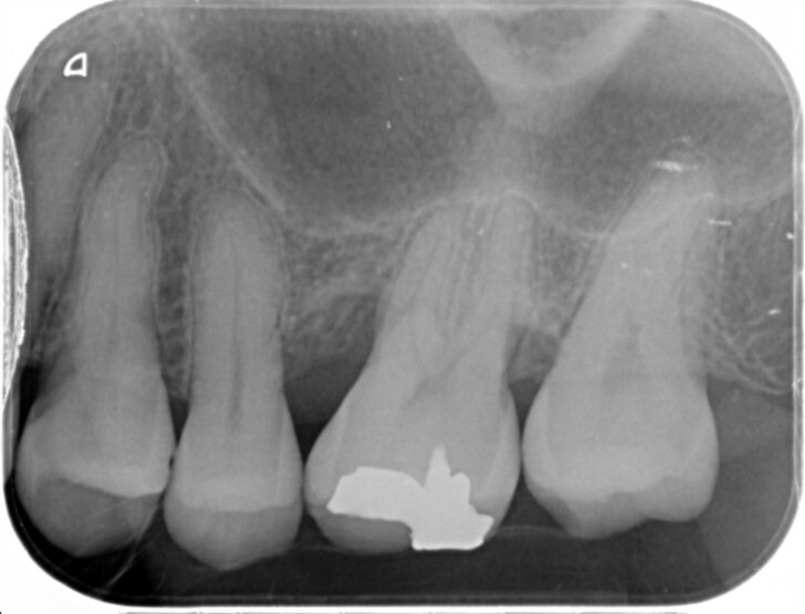
1.歯周組織検査、口腔内写真撮影、X線撮影の実施

現在のお口の状態を正確に把握するため、歯ぐきの検査、口腔内写真やレントゲン撮影を行います。歯周ポケットの深さや歯を支える骨の状態を確認し、歯周病の進行度を詳しく診断します。
 

2.歯周病治療のコンサルテーションの実施

検査結果をもとに、患者さまのお口の状態や歯周病の原因、今後必要な治療内容について丁寧にご説明します。ご不安や疑問点にもお答えし、納得いただいた上で治療を進めていきます。

3.歯周基本治療開始(TBI、スケーリング・ルートプレーニング)

歯周病治療の基本となる治療を行います。正しい歯みがき方法(TBI)をお伝えし、歯石や歯周ポケット内の汚れを専用の器具で除去します。歯ぐきの炎症を抑え、歯周組織の改善を目指します。

4.歯周組織の治りの確認(再評価)

基本治療後、歯ぐきの状態がどの程度改善したかを再度検査します。歯周ポケットの深さや炎症の有無を確認し、今後の治療方針を判断します。

5.状態に応じて歯周外科処置(リグロスを使用した歯周組織再生療法)

再評価の結果、必要と判断した場合には歯周外科処置を行います。歯周組織再生材料「リグロス」を使用し、失われた歯周組織の再生を促す治療を行うことがあります。

6.歯周病の安定確認後メインテナンスへ移行
歯周病が安定したことを確認した後は、再発を防ぐためのメインテナンスに移行します。定期的な検診とクリーニングで、健康な歯ぐきの状態を維持していきます。