きはら歯科クリニック|一般歯科・矯正歯科・小児歯科

‟コミュニケーション第一„をモットーに掲げる地域密着の診療所です

外観 ホームスライドショー_top_1

HOME ≫ 精密根管治療 ≫

精密根管治療

治りが悪い歯の根管治療への対応

通常の根管治療で症状が改善しない歯や、再発を繰り返している歯に対しては、より精密な根管治療を行います。当院では、原因を正確に見極め、再治療の成功率を高めるために以下の対応を行っています。

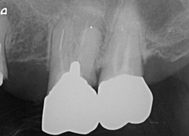
必要に応じてCT撮影を実施(根管形態の確認や病変の確認の為)

歯の根の形態は非常に複雑で、通常のレントゲンでは確認できない場合があります。CT撮影を行うことで、根管の本数や形、病変の広がりを立体的に把握し、的確な治療計画を立てます。

スクリーンショット (23)

ラバーダム防湿の実施(唾液などの感染源から絶つ為)

治療中の歯をゴムのシートで隔離し、唾液や細菌が根管内に入るのを防ぎます。無菌的な環境を保つことで、再感染のリスクを最小限に抑えます。

35170_きはら歯科クリニッ_p38 編集1

マイクロスコープによる拡大視野での施術

歯科用顕微鏡(マイクロスコープ)を使用し、肉眼では見えない細かな部分まで拡大して確認しながら治療を行います。見落としやすい根管や感染部位を正確に処置することが可能です。

エンド用エキスカ 写真_コピー

エンド用エキスカなどの拡大視野での専用の器具の使用

マイクロスコープ下で使用できる、根管治療専用の精密な器具を用いて、感染源を丁寧に取り除きます。歯へのダメージを最小限に抑えた治療を心がけています。

根管の状態によってはMTAセメントの使用

強い殺菌作用と高い封鎖性を持つMTAセメントを、症例に応じて使用します。難治性の根管や根の先に病変がある場合でも、治癒を促す効果が期待できます。

破折ファイル(根管内異物の除去)

過去の治療で根管内に器具が折れて残っている場合でも、マイクロスコープを用いて可能な限り安全に除去を行います。歯を残すための選択肢を広げます。